TSA六标七色多重荧光染色试剂盒(mIHC)
TSA六标七色多重荧光染色试剂盒(mIHC)
规格:20T 价格:¥6780
规格:50T 价格:¥13560
规格:100T 价格:¥22800
SKU: RA10012Category: TSA多重荧光染色试剂盒Tags: Pathology, Goat, TSA, HRP, mIHC, IF, Rabbit, Mouse
产品概述
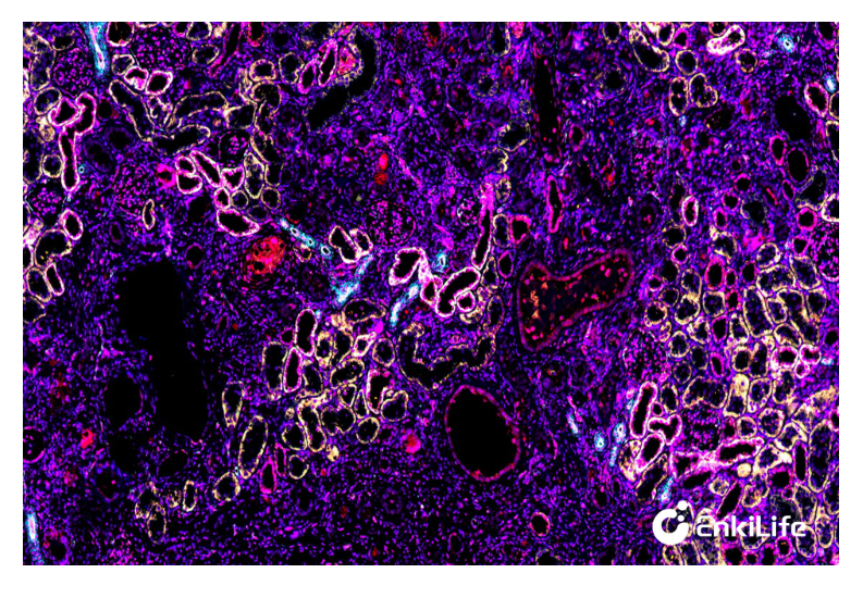
本产品TSA六标七色多重荧光染色试剂盒,适用于石蜡切片、冰冻切片、细胞爬片、细胞涂片、类器官等组织样本的免疫荧光多重染色,尤其适用于相同来源一抗的多重荧光免疫标记,也可用于不同来源抗体的多重荧光免疫标记。主要原理是基于酪胺信号放大(TSA, Tyramide signal amplification),以下简称TSA技术。TSA技术主要原理是利用酪胺Tyramide的过氧化物酶反应(即荧光标记的酪胺盐在 HRP催化 H2O2下形成共价键结合位点),产生大量的酶促反应,该产物能与周围的蛋白残基(包括色氨酸、组氨酸、酪氨酸残基)结合,在抗原-抗体结合部位形成大量的荧光素沉积,实现信号放大。本试剂盒使用多重荧光染料对酪胺进行标记,得到的荧光酪胺荧光强,信号稳定,应用于多次重复免疫标记实现多重荧光染色。
产品信息
|
产品形态 |
液体 |
|
产品规格 |
20T、50T、100T |
|
储存条件 |
2-8℃ |
|
运输条件 |
低温 |
|
有效期 |
12个月 |
|
组分 |
规格 |
稀 释比例 |
||
|
20T |
50T |
100T |
||
|
TSA-CY3 |
10μL |
25μL |
50μL |
1:200 |
|
TSA-FITC |
10μL |
25μL |
50μL |
1:200 |
|
TSA-680 |
10μL |
25μL |
50μL |
1:200 |
|
TSA-430 |
10μL |
25μL |
50μL |
1:200 |
|
TSA-594 |
10μL |
25μL |
50μL |
1:200 |
|
TSA-CY7 |
10μL |
25μL |
50μL |
1:200 |
|
TSA稀释液 |
12mL |
30mL |
60mL |
即用型 |
|
3%H2O2 |
2mL |
5mL |
10mL |
即用型 |
|
封闭液 |
12mL |
30mL |
60mL |
即用型 |
|
一抗稀释液 |
12mL |
30mL |
60mL |
即用型 |
|
抗体洗脱剂 |
10mL |
25mL |
50mL |
即用型 |
|
HRP‐山羊抗兔/鼠IgG |
12mL |
30mL |
60mL |
即用型 |
|
DAPI染液 |
2mL |
5mL |
10mL |
即用型 |
|
抗荧光淬灭封片剂 |
2mL |
5mL |
10mL |
即用型 |
荧光素信息
|
荧光素名称 |
激发波长 (nm) |
发射波长 (nm) |
显微镜下颜色 |
滤光片 |
|
TSA-FITC |
490 |
520 |
绿色 |
FITC通道 |
|
TSA-CY3 |
550 |
570 |
橙红色 |
CY3通道 |
|
TSA-680 |
680 |
700 |
深红色 |
CY5/CY5.5通道 |
|
TSA-430 |
430 |
480 |
青色 |
Aqua通道 |
|
TSA-594 |
590 |
620 |
红色 |
Red通道 |
|
TSA-CY7 |
750 |
780 |
深红色 |
CY7通道 |
注意事项
1. 一抗的选择
1.1 一抗优先选择单克隆抗体,其次选择多克隆抗体;
1.2 如果是小鼠样本,尽量避开选择小鼠来源一抗,若选择小鼠一抗,二抗除了与一抗结合,还会结合组织内源性的IgG,产生非特异性着色;
2. 若组织容易掉片,修复时可采用60℃水浴方式进行修复。
3. 与荧光二抗相比,TSA试剂盒有更高的灵敏度和更强的信号。因此一抗使用浓度需降低,一般在抗体说明书建议的稀释比基础上适当扩大稀释倍数,以减少非特异性结合导致的背景荧光。建议设置一抗梯度浓度获得最佳效果。
4. 如背景荧光较强,建议增加组织自发荧光淬灭步骤。
5. 为保证抗体洗脱效果及荧光多重标记效果,建议正式多重标记之前分别做各个抗体的TSA单标测试,确定每个抗体单标都能做出较理想的阳性后再根据单标测试结果去确定多标的抗原修复条件、抗体顺序等实验条件。
6. 如果有些抗体效价高,亲和力较强,不易洗脱彻底,可增加洗脱次数。
7. 抗体洗脱液流动性强,片子未水平放置时,试剂易流出圈外,影响洗脱效果,需在操作过程注意切片平放。
8. 操作时需带好手套,口罩,穿好实验服,避免试剂接触皮肤和眼睛。如不慎接触到敏感区域,立即用大量清水冲洗。